「歯並びを治したいけれど、100万円近くかかると聞いて諦めた」
「前歯の隙間だけ、どうしても気になる」
「子どもの歯並び、将来のために今のうちに何とかしてあげたい」
北広島市東共栄にあるMASA歯科では、そんなお悩みを持つ患者様に、高額な全顎矯正だけでなく、費用を抑えた「部分矯正」や「マウスピース矯正」という選択肢をご提案しています。
この記事では、当院で実際に治療を行なった5つのリアルな症例写真(ビフォーアフター)と共に、治療費や期間、治療法について包み隠さず公開します。
1. 【部分矯正】大人のワイヤー矯正(短期間・低価格)
前歯の「隙間」や「ねじれ」など、気になる部分だけをピンポイントで治す治療法です。
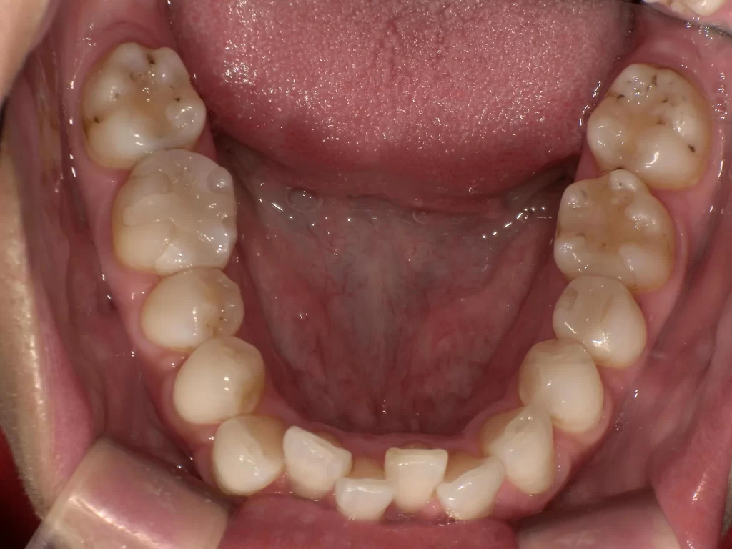
症例①:前歯の隙間(すきっ歯)を埋めたい
【期間:10ヶ月 / 費用:約14万円】
「前歯が1本足りなくて隙間がある」というお悩みを、目立ちにくい白ワイヤーを用いた部分矯正で治療しました。
▼ 治療前(Before)


▼ 治療中(目立ちにくい白ワイヤーを使用)

▼ 治療後(After)


- お悩み: 前歯の本数が少なく、隙間が空いている
- 治療法: 部分矯正(白ワイヤー+透明ブラケット)
- 期間: 10ヶ月
- 費用: 14万円(税別)+月1回の調整料3,000円
- 結果: 気になっていた隙間が完全に埋まり、きれいに整いました。
- 歯を動かすことによる痛みや違和感が生じることがあります。
- 装置装着中は歯磨きがしにくくなり、虫歯や歯周病のリスクが高まります。
- 治療後に保定装置(リテーナー)を使用しないと、歯が元の位置に戻る(後戻り)可能性があります。
症例②:内側に入った前歯を1本だけ治したい
【期間:3.5ヶ月 / 費用:約8万円】
「上の前歯が1本だけ内側に入り込んでいる」というケースです。金属ワイヤーを使用し、超短期間で改善しました。
▼ 治療前(Before)

▼ 治療中(金属ワイヤーを使用)

▼ 治療後(After)

- お悩み: 前歯1本のねじれ・反対咬合
- 治療法: 部分矯正(金属ワイヤー)
- 期間: わずか3.5ヶ月
- 費用: 8万円(税別)
- 結果: 10万円以下の費用かつ、3ヶ月ちょっとという短期間で、コンプレックスだった前歯が正しい位置に並びました。
- 初めて装置をつけた直後は、噛むと痛いなどの症状が出ることがあります。
- 歯根吸収(歯の根が短くなること)が起こる可能性があります。
- 噛み合わせの状態によっては、部分矯正では対応できない場合があります。
2. 【マウスピース矯正】アソアライナー(目立たない矯正)
透明なマウスピースを交換しながら、少しずつ歯を動かしていく治療法です。
症例③:出っ歯・ガタつき・口が閉じにくい
【期間:9ヶ月経過時 / 費用目安:約45万円】
「出っ歯で口が閉じにくい」「しっかり噛めない」というお悩みで治療中のケースです。
▼ 治療前(Before)




▼ 治療開始から9ヶ月後(現在治療中)




- お悩み: 出っ歯、口元の突出感、ガタガタ(叢生)
- 治療法: アソアライナー
- 経過: 9ヶ月(継続中)
- 費用目安: 45万円程度
- 変化: 前歯の出っ歯感がかなり改善され、自然に口が閉じやすくなりました。奥歯の幅も広がり、しっかり噛める歯が増えてきています。
- 1日17時間以上の装着時間を守らないと、計画通りに歯が動かない場合があります。
- 新しいマウスピースに交換した直後は、締め付けられるような痛みを感じることがあります。
- 適応症例が限られており、骨格的な問題がある場合は対応できないことがあります。
3. 【小児矯正】プレオルソ(子どもの歯並び改善)
お家にいる時間と寝ている時間だけ装着する、柔らかいマウスピース装置です。短期間で劇的な変化が出ています。
症例④:10歳・出っ歯・深い噛み合わせ
【使用期間:3ヶ月】
上の前歯が出ていることと、下の歯が見えなくなるほど噛み合わせが深い(過蓋咬合)ケースです。
▼ 治療前(Before)


▼ 使用3ヶ月後(After)


- 年齢・症状: 10歳、上顎前突、過蓋咬合
- 治療法: プレオルソ
- 期間: 3ヶ月
- 結果: たった3ヶ月の使用で、出っ歯感が減り、深すぎた噛み合わせが正常な位置に改善されました。
- お子様本人が装着を嫌がると効果が得られません。
- 使用中に破損する可能性があります。
- 永久歯への生え変わり後に、仕上げのワイヤー矯正が必要になる場合があります。
症例⑤:10歳・ガタガタ・出っ歯・深い噛み合わせ
【使用期間:3ヶ月】
歯が生えるスペースが足りずガタガタしており、噛み合わせも深い状態でした。
▼ 治療前(Before)



▼ 使用3ヶ月後(After)



- 年齢・症状: 10歳、叢生(ガタガタ)、過蓋咬合
- 治療法: プレオルソ
- 期間: 3ヶ月
- 結果: 装置を使うことで歯列の横幅が拡大し、ガタつきが自然に改善されました。深い噛み合わせも良くなっています。
- 装着時は話しにくいです。
- 口内炎ができることがあります。
- 成長期に行う治療であり、顎の成長発育により治療計画の変更が必要になる場合があります。
北広島市で矯正相談ならMASA歯科へ
ご覧いただいたように、MASA歯科では患者様のご予算や症状に合わせて、「全顎矯正」以外の柔軟な選択肢(部分矯正・マウスピース・プレオルソ)をご用意しています。
- 「私の歯並びも部分矯正で治る?」
- 「子どもの矯正、いつから始めたらいい?」
- 「費用は総額でいくらくらい?」
まずはお気軽にご相談ください。
無料のお見積もりやカウンセリングで、あなたの歯の可能性を一緒に確認しましょう!
ご予約・お問い合わせはお電話にてお待ちしております。
